Restorative treatment of a persistent, unilateral open bite with direct composite table tops

October 13, 2025

|

Reconstructions of posterior teeth that extend over multiple cusps or even the entire occlusal surface are typically performed using indirect methods. However, there is an alternative that avoids tooth preparation and the associated loss of tooth structure: direct, chairside composite restorations.
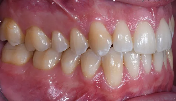
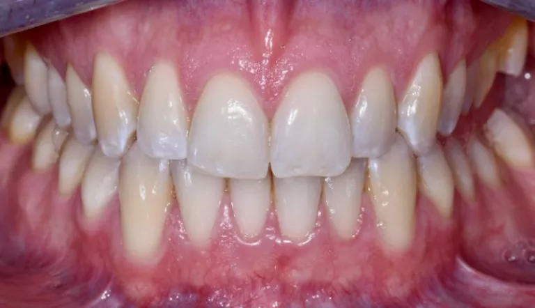
This case report presents a 23-year-old patient referred by an orthodontist for the restorative treatment of a therapy-resistant, unilateral open bite. The patient exhibited caries-free teeth and a Class I occlusion with proper alignment on the right side, as well as on the left side up to the region of teeth #23 to #33 (Fig. 1). Teeth #24 to #27 and #34 to #37 were in non-occlusion.






Image

MKT-25-0683 Header.png






The patient opted for the restoration of the teeth with direct composite table tops, as this method enables a restoration that preserves the tooth structure by adding material directly to the teeth without removing any existing tooth substance.
In the first phase, a digital wax-up was created based on an initial scan to produce a clear resin index (Fig. 2). Based on this model, a clear index can be produced. The clinical procedure is illustrated here using the upper jaw as an example. After placing a rubber dam, the teeth to be restored (#24 and #26) were isolated from the neighboring teeth using Teflon tape to prevent the teeth from interlocking (Figs. 3, 4).
The teeth were prepared for the placement of the table tops using a three-step etch-and-rinse adhesive technique (OptiBond™ Gel Etchant & OptiBond FL, Kerr) (Figs. 5, 6).






Image

page_2_img_1.jpeg










Image

page_2_img_2.jpeg







Fig. 1 – Initial situation at the 1st examination. Teeth #24 to #27 and #34 to #37 were in non-occlusion, with the interocclusal discrepancy increasing distally.






Image

page_2_img_3.jpeg







Fig. 2 – A digital model of the dentition was created based on the intraoral scan. The left-side occlusal plane was determined, and teeth #24 to #27 and #34 to #37 were designed for the production of a clear resin index.






Image

page_2_img_4.jpeg







 


Fig. 3 – Application of rubber dam.
 






Image

page_2_img_5.jpeg






Fig. 4 – Isolation of individual teeth with Teflon tape.
 






Image

page_2_img_6.jpeg






Fig. 5 – Conditioning of the teeth with 37.5% Phosphoric Acid.
 






Image

page_2_img_8.jpeg










Image

optibond fl kit






Fig. 6 – Application of the adhesive system in two steps.


Next, the composite material was applied to the clear resin index and the teeth, according to the volume to be filled. Both a packable and a flowable bulk-fill composite were used to avoid air inclusions and to adequately fill hard-to-reach areas, such as the fissures of the teeth (SimpliShade™ Bulk Fill & SimpliShade Bulk Fill Flow, Kerr). Due to the size of the restorations and the layer thickness—partially exceeded 2 mm—a bulk-fill composite was appropriate, as it allows for an increment thickness of 4–5 mm.
After inserting the clear resin index, excess material was removed with hand instruments, and the composite was cured (Figs. 8, 9). Following polymerization, the clear index was removed, and the restorations were refined using a scalpel or polishing discs (OptiDisc, Kerr) (Fig. 10). After refining the restorations, this procedure was repeated for teeth #25 and #27 (Figs. 11, 12).






Image

page_3_img_6.jpeg






Fig. 7 - Clear resin index filled with composite material.






Image

page_3_img_3.jpeg






Fig. 8 – Application of the clear resin index.
 






Image

page_3_img_1.jpeg






Fig. 9 – Removal of excess material while the composite is still soft.
 






Image

page_3_img_2.jpeg






Fig. 10 – Refinement of the restorations using polishing discs.
 






Image

page_3_img_5.jpeg










Image

page_3_img_4.jpeg






Fig. 11 & 12 – Treatment of teeth #25 & #27.
 






Image

page_4_img_1.jpeg










Image

page_4_img_2.jpeg










Image

page_4_img_3.jpeg






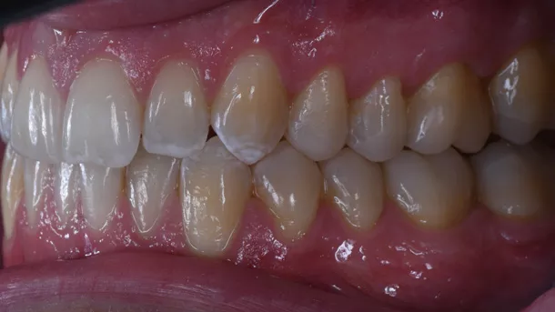
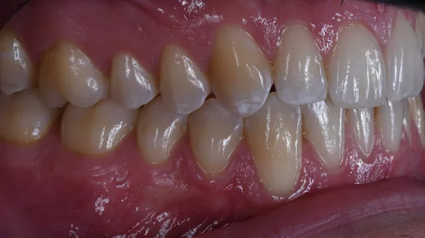
Fig. 13 – Final restoration demonstrating restored occlusion and balanced alignment between both sides without any interference.
 






Image

page_4_img_4.jpeg










Image

page_4_img_5.jpeg






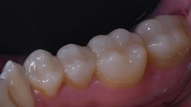
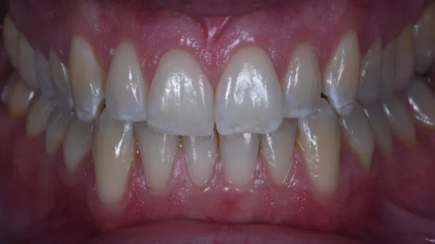
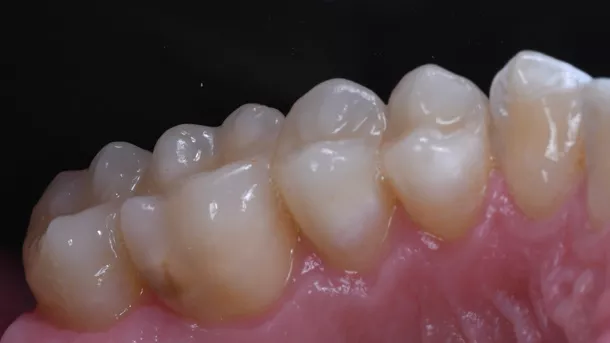
Fig. 14 & 15 – Six-month recall. The restorations remained intact, and the surface gloss was unchanged.


At the six-month recall examination, the high-gloss polished restorations remained clinically unchanged.
 


Conclusion:
Using composite for direct tabletops to restore proper occlusion or achieve bite elevation offers a smart, preparation-free alternative to traditional methods. Bulk-fill composites are particularly effective because they allow for layer thicknesses exceeding 2 mm, as in this case. Additionally, the single shade composite material provided a good aesthetic outcome due to its excellent color matching properties.
 
Dr. Basel Kharbot is a consultant for Kerr. The opinions and technique expressed in this article are based on the experience of Dr. Basel Kharbot. Kerr is a medical device manufacturer and does not dispense medical advice. Clinicians should use their own professional judgment in treating their patients. All trademarks and brand names are the property of their respective owners.


MKT-25-0683 Rev-0


Dr. Basel Kharbot

Written By:

Dr. Basel Kharbot

Dentist

Share This

Want to learn more? Let us know more about you and we will get back to you.