Bulk Fill composites to solve everyday direct posterior restorations
December 17, 2025
|
In modern dental clinics, one of the most frequently performed procedures is direct posterior composite restorations. These restorations boast a high success rate and can last for many years, providing durable and reliable solutions for patients. Advances in dental materials have made the process easier, more predictable, and longer-lasting. Among these advancements, the introduction of bulk-fill composites, available as flowable or paste materials, has significantly reduced the time required to restore posterior teeth while ensuring excellent biological integration. This article will explore how to restore Class II cavities using bulk-fill composites of varying viscosities.

Fig. 1 Initial situation.
A young patient visited our clinic, complaining of sensitivity in the right posterior region. Upon clinical examination, we identified a defective restoration on tooth 46 and detected caries on tooth 47. After discussing the treatment options, we decided to proceed with direct restorations for both teeth, and the patient agreed to move forward with the plan.

Fig. 2 Cavity preparation.
On tooth 46, the old composite restoration was removed, along with the caries, and a Class II ODV restoration was performed. On tooth 47, a mesial box was prepared to eliminate the decay, followed by the creation of an occlusal cavity. Pay close attention to the cavity design on both teeth and how the contact point was opened to ensure proper matrix placement. To ensure a clear view of the distal margin on tooth 46, a Teflon tape was carefully packed.

Fig. 3 Selective Enamel Etching.
Two matrices were positioned and secured using a wooden wedge. A 37% phosphoric acid solution was then applied primarily to the enamel for selective etching, allowing it to act for 30 seconds.

Fig. 4 Bonding of the preparation.
A universal bonding agent (OptiBond Universal, Kerr) was applied to the enamel and dentin, gently rubbed for 15 seconds to ensure proper adhesion. It was then dried for 10 seconds to effectively remove the solvent.

Fig. 5 Bulk Fill flowable application.
A Bulk Fill Flow composite (SimpliShade Bulk Fill Flow, Kerr) was applied in a 2mm layer to the gingival portion of the Class II cavity. This low-stress material offers excellent leveling properties, ensuring a secure seal with minimal risk of microleakage.

Fig. 6 Building of proximal walls.
The distal wall of tooth 46 was built to convert the Class II cavity into a Class I cavity. Restoring the wall of tooth 46 was completed first, then, one of the matrices was removed while the matrix on tooth 47 remained in place to maintain a proper contact point between the two teeth. The walls were built using SimpliShade Bulk Fill (Kerr) in paste viscosity, ensuring durability and optimal adaptation.

Fig. 7 SimpliShade Bulk Fill composite.
Available as a flowable or as composite that can be applied in layers up to 5mm, thanks to its low-stress properties. Designed for effortless shade matching, SimpliShade Bulk Fill comes in a single shade, utilizing its chameleon effect to seamlessly blend with the natural tooth color.

Fig. 8 Final restoration before rubber dam removal.
The final restorations were completed using SimpliShade Bulk Fill paste, with the anatomy carefully reproduced using the Espresso Posterior technique. To enhance the depth and realism of the restoration, stains were applied in the fissures, creating a natural 3D effect.

Fig. 9 Finishing of the restoration.
OptiDisc (Kerr) was used to carefully remove excess material from the buccal and lingual areas adjacent to the Class II restoration, ensuring a smooth and precise finish.

Fig. 10 Pre-polishing of restorations.
Opti1step polisher (Kerr) was used as a one-step pre-polisher to enhance the pre-finish of the restorations, ensuring a smooth surface.

Fig. 11 Polishing of restorations.
Occlubrush (Kerr) was used to achieve a high-gloss finish of the restorations. This one-step polishing brush system ensures fast and safe polishing, offering a non-destructive approach for occlusal and concave surfaces. Designed for use on composites, compomers, resin-modified glass ionomers, and ceramics, Occlubrush features polishing particles embedded directly in the bristles, eliminating the need for additional paste. Available in three distinct shapes, it allows precise access to all areas and angles for optimal results.

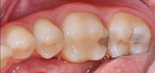
Fig. 12 Final restorations before rubber dam removal.
The final result, observed before rubber dam removal, reveals a noticeable color difference between the restorations and the natural tooth due to temporary dehydration. Take note of the well-defined anatomy and the high-quality contact point, ensuring optimal integration.

Fig. 12 One day after the procedure.
One day after the procedure, the restorations had beautifully adapted to the natural tooth shade, creating a seamless and lifelike appearance that enhanced the overall function and esthetics.

Fig. 12 Three months recall.
Three months after the procedure, the restorations remained intact, seamlessly blending with the natural teeth. The patient reported no issues, discomfort, or post-operative sensitivity, confirming the success of the treatment.
Conclusion
Dental advancements continue to transform everyday practice, making procedures faster, more predictable, and efficient. The restorations, observed three months post-treatment, seamlessly blended with the natural tooth shade, confirming the success of the technique. The patient reported no discomfort or sensitivity, reinforcing the reliability of modern materials. Innovations such as bulk-fill composites and refined application techniques not only enhance clinical outcomes but also streamline workflows, allowing dentists to provide high-quality care with greater speed and precision.
Bibliography
Hardan L, Sidawi L, Akhundov M, Bourgi R, Ghaleb M, Dabbagh S, Sokolowski K, Cuevas-Suárez CE, Lukomska-Szymanska M. One-year clinical performance of the fast-Modelling bulk technique and composite-up layering technique in class I cavities. Polymers. 2021 Jun 4;13(11):1873.
www.styleitaliano.org/back-to-basics-bulk-and-body
Attar N. Influence of flowable composite lining on the microleakage and adaptation of composite restorations. Journal of Dentistry. 2016 Mar;44:14-20.

MKT-25-0731 Rev-0
Disclosure: Dr. Murad Akhundov is a consultant for Kerr. The opinions and technique expressed in this article are based on the experience of Dr. Murad Akhundov. Kerr is a medical device manufacturer and does not dispense medical advice. Clinicians should use their own professional judgment in treating their patients.
Share This